Pružamo širok spektar usluga za vas

INOVATIVAN PRISTUP

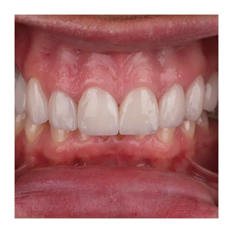
Viniri

Fokusirani smo na poboljšanje izgleda vašeg osmijeha. Viniri - ili fasete, keramička nadogradnja kojom se znato popravlja funkcionalnost i izgled zuba. Tanke su od 0.4 do 0.8 mm, pa samim tim se malo bruse zubi. Od potpuno čiste keramike su, što u potpunosti imitira prirodan zub.

Viniri

Protetika

IVOCLAR IPS E.MAX PRESS

Naša usluga protetike pruža vam potpunu transformaciju osmijeha. Bez obzira trebate li navlake, mostove ili krunice, djelimične ili potpune proteze, naš stručni tim posvećen je vraćanju funkcionalnosti i estetike vašem osmijehu. Koristeći visokokvalitetne Ivoclar E-max premium materijale i precizne tehnike pri izradi protetskih radova, osiguravamo prirodan izgled vaših novih zuba.

Protetika

Paradontologija

Naš iskusni tim pruža sveobuhvatne dijagnostičke i terapijske metode za liječenje parodontalnih problema. Kombinujemo skaling, lasersku terapiju, te rekonstrukciju koštanog tkiva kako bismo zaštitili Vaš osmijeh od dugoročnih posljedica., nudimo individualizirane pristupe kako bismo zaustavili daljnje probleme i očuvali zdrave desni. Zdravi desni su osnov za zdrav i savršen osmjeh.

Paradontologija

Ortodoncija

Naš ortodontski tretman ima za cilj postizanje usklađenog osmijeha. Koristimo najnovije tehnike i aparate kako bismo ispravili nepravilnosti zagriza i položaja zuba. Naši tretmani uključuju klasične aparatiće bilo mobilne ili fiksne za preciznu korekciju, te prozirne Invisalign tretmane za diskretnu terapiju.

Ortodoncija

Endodoncija

Naša se endodoncija temelji na naprednoj tehnologiji i pristupima koristeći pri tome inovativne uređaje i mikroskop za precizne postupke liječenja korijenskih kanala zuba. Endodontska terapija se može raditi laserskom metodom i mašinskim visokopreciznim instrumentima.

Endodoncija

Estetska Stomatologija

Fokusirani smo na poboljšanje izgleda vašeg osmijeha. Nudimo usluge izbjeljivanja zuba, keramičkih faseta, kompozitnih nadoknada, vinira, luminira te kompletnu estetsku transformacije zuba. Personalizovani tretmani za savršen osmijeh koji odražava vašu osobnost.

Estetska Stomatologija

Hirurgija

Pružamo hirurške usluge kao što su vađenje umnjaka,nadogradnja kosti, apikotomija te ugradnja implantata. Nadoknađujemo izgubljene zube titanijumskim implantatima koji traju doživotno. Kombinujemo estetiku, čvrstoću i najnoviju tehnologiju kako bismo Vam vratili osmijeh bez kompromis. Bezbolni i sigurni tretmani u kontrolisanom okruženju.

Hirurgija

Restaurativna Stomatologija

Svaka restauracija, faseta ili protetski rad koji izađe iz naše ordinacije nosi pečat vrhunske kvalitete, estetike i preciznosti. Ne vjerujemo u univerzalna rješenja – svaki osmijeh koji kreiramo sa pažnjom prilagođen je individualnim karakteristikama pacijenta, sa visoko standardnom kvalitetom.

Restaurativna Stomatologija

Zakaži Svoj
Termin

termini