„Ali ja se nikad ne smijem”, rekla je Ilderina u trenutku kad je naša Dijana pravila fotografije u studiju, tražeći od nje „široki osmijeh”. Tako je počela priča o ovom slučaju s ciljem da izvučemo osmijeh koji se oduvijek krije.
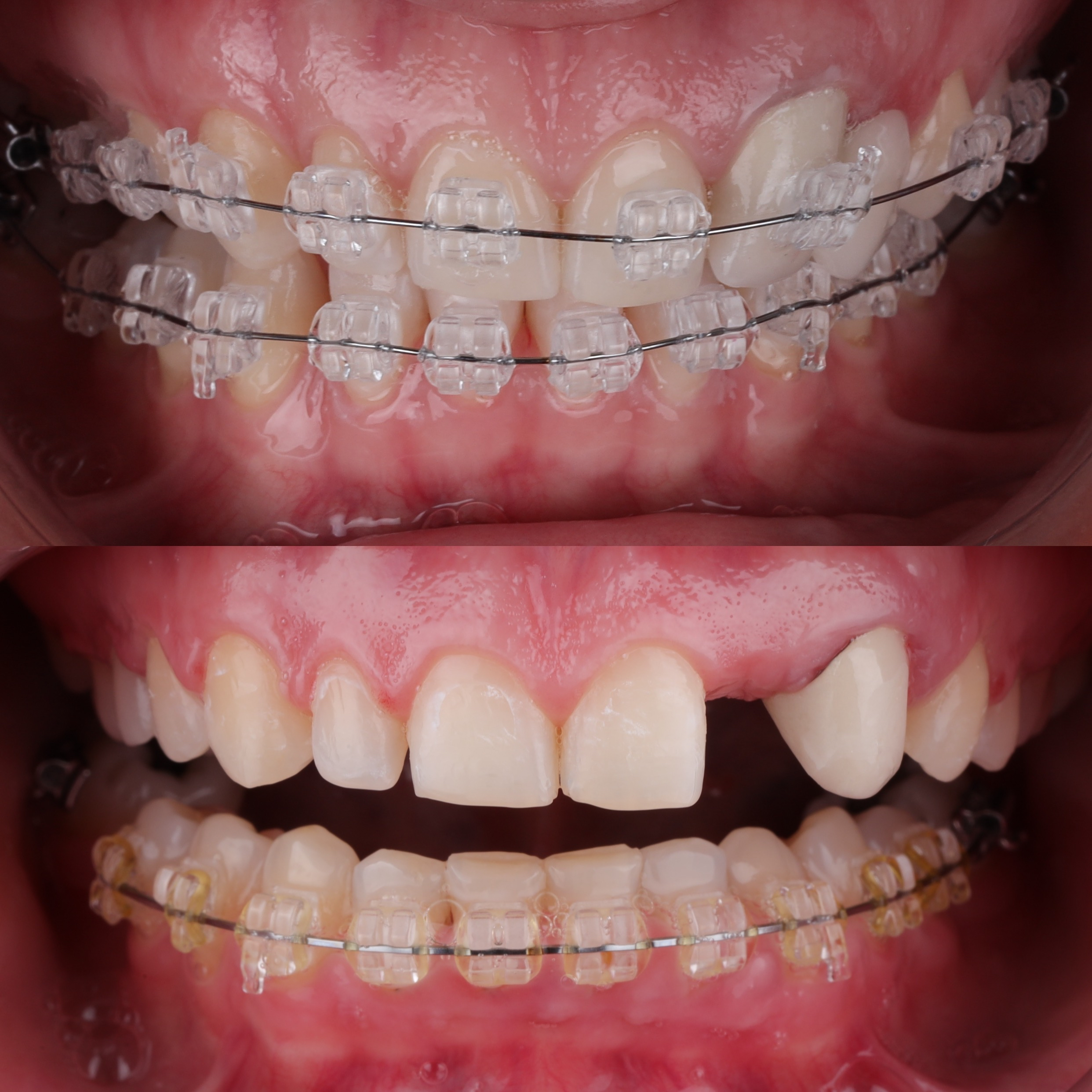
Ilderina je imala urođeni nedostatak stalnog lateralnog sjekutića, uz mezijalizaciju stalnog očnjaka koji je nikao uz centralni sjekutić, a iza njega je postojao prazan prostor. Kada je imala 17 godina, prethodni stomatolog pokušao je da tu situaciju riješi protetskim radom na trojci s visećim članom, čime se privremeno zatvorio prostor, ali estetski rezultat nije bio zadovoljavajući.
Vidna asimetrija, ispupčenje na kosti gornje vilice i neadekvatan položaj zuba rezultirali su osmijehom koji pacijentici nije davao samopouzdanje, zato se Ilderina godinama nije smijala. U stomatološkoj ordinaciji Saraj dent Sarajevo pristupili smo slučaju temeljito, analizirajući najbolji, iako ne najbrži način da se postigne estetski i funkcionalno savršen rezultat.
Situacija je zahtijevala interdisciplinarni pristup: ortodontsku terapiju kao osnovu i preciznu protetsku rekonstrukciju za konačni estetski sklad.
ORTODONTSKA FAZA
Pacijentica nije imala dvojku, trojka je zauzimala njeno mjesto, dok je prostor gdje treba biti trojka bio prazan. Iako je krajnji cilj bio most sa cirkon-keramičkim krunicama, položaji nosača nisu bili povoljni za postizanje simetrije gingivalnog pripoja i koštanog grebena.
Zato je odlučeno da se ortodontski koriguju položaji zuba, čime bi se stvorili idealni uslovi za budući protetski rad.
Ortodontska terapija, sprovedena u ordinaciji Saraj dent, trajala je 18 mjeseci. Tokom tog perioda ortodontskim aparatom smo pomjerili očnjak na njegovo prirodno mjesto, a Ilderina je imala privremeni estetski zub na mjestu dvojke. Paralelno smo korigovali i zagriz te položaj donjih zuba. Time su stvoreni idealni uslovi za završnu, protetiku visoke estetike.

PROTETSKA FAZA
Nakon završene ortodontske faze, uslijedio je protetski dio terapije, koji je imao za cilj da uspostavi pravilnu simetriju osmijeha i sklad između zuba, zubnog mesa i linije usana.
Obzirom da je nakon ortodontske terapije formiran pravilan prostor od trojke do trojke, odlučeno je da se izradi šest cirkon-keramičkih navlaka u gornjoj vilici. Ovaj materijal pruža savršen spoj čvrstoće i prirodne prozirnosti, zbog čega je jedan od najtraženijih u estetskoj stomatologiji.
Proces je tekao u više pažljivo planiranih koraka:
- Nakon detaljne analize osmijeha i fotografisanja, uslijedila je minimalno invazivna priprema zuba uz maksimalno očuvanje zdravog zubnog tkiva
- Urađeni su digitalni otisci intraoralnim skenerom, čime je postignuta visoka preciznost i brža laboratorijska faza.
- Izrađene su privremene navlake odmah nakon preparacije, omogućivši pacijentici estetski osmijeh tokom cijelog procesa.
- U završnoj fazi izrađene su cirkon-keramičke krunice sa individualizovanom morfologijom, ručnim slojevanjem keramike i pažljivo oblikovanim incizalnim rubovima, što je rezultiralo potpuno prirodnim izgledom.

REZULTAT KOJI GOVORI SAM ZA SEBE
Ilderina je bila oduševljena ne samo ljepotom, već i prirodnim izgledom svog novog osmijeha. Danas se smije s lakoćom, baš onako kako je oduvijek željela. Slučaj pacijentice Ilderine najbolje pokazuje koliko je važan timski, interdisciplinarni pristup u savremenoj stomatologiji. Kada ortodoncija i protetika djeluju zajedno, rezultat nije samo funkcionalan, nego estetski savršen.
Upravo takav pristup njeguje stomatološka ordinacija Saraj dent Sarajevo mjesto gdje pacijenti mogu na jednom mjestu dobiti objedinjeno mišljenje više specijalista, savremene dijagnostičke metode i individualizovanu terapiju. Zato smo prepoznatljivi po osmijehu koji ima priču i stručnosti koja stoji iza svakog od njih.